激しい頭痛の原因は脳に寄生したサナダムシ
2015年11月07日 16:08 発信地:ロサンゼルス/米国
【11月7日 AFP】激しい頭痛に苦しんでいた米カリフォルニア(California)州在住の男性の頭痛の原因が、脳内に、いわゆるサナダムシと呼ばれる条虫の幼虫が寄生していたことだと分かった。地元メディアが5日、報じた。脳内に条虫の幼虫が寄生し、命の危険が迫っていたという。
担当の神経外科医によれば、サナダムシはオーティスさんの脳の中で、「瓶のコルク栓(せん)」のように嚢胞(のうほう)を作り、それによって、脳室に流れる脳脊髄(せきずい)液がせき止められていたという。
全文読むhttp://www.afpbb.com/articles/-/3065803
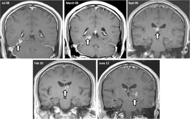
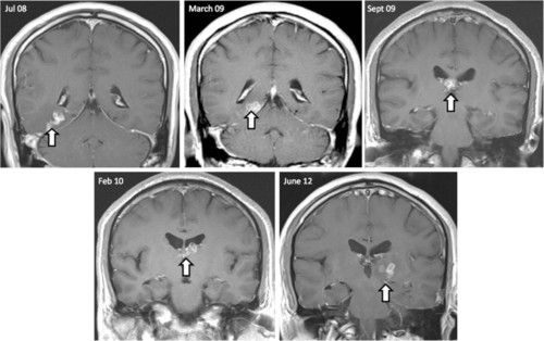
英国で初めて報告例があった、脳内に寄生した条虫の動きを示した脳スキャン画像(2014年11月20日提供、資料写真)。
(c)AFP/GENOME BILOGY/NAGUI ANTOUN

2: 名無しさん 2015/11/07(土) 17:02:41.55
頭痛持ちだからサナダ虫飼ってるかもしれない
86: 名無しさん 2015/11/07(土) 17:42:11.58
>>2
大丈夫
お前はただ頭が悪いだけ
大丈夫
お前はただ頭が悪いだけ
113: 名無しさん 2015/11/07(土) 18:14:35.47
>>86
見も蓋も無くてワロタwwww
見も蓋も無くてワロタwwww
6: 名無しさん 2015/11/07(土) 17:06:07.21
脳まで行くなんて、食通だな、サナダ虫
10: 名無しさん 2015/11/07(土) 17:08:07.89
南朝鮮産キムチには寄生虫の卵が沢山付いてるからな、過去に似たような事があった
78: 名無しさん 2015/11/07(土) 17:35:47.34
>>10
日本国内製造と言う物でも浸ける液体は南朝鮮から輸入して使っている物が多いよ。
日本国内製造と言う物でも浸ける液体は南朝鮮から輸入して使っている物が多いよ。
12: 名無しさん 2015/11/07(土) 17:08:29.09
一番重要な何を食って寄生されたのか教えろよww
15: 名無しさん 2015/11/07(土) 17:10:52.04
エキノコックスかね?
紐みたいな裂頭条虫じゃこんなんにならないだろうし
紐みたいな裂頭条虫じゃこんなんにならないだろうし
18: 名無しさん 2015/11/07(土) 17:12:34.80
有機栽培の農作物全てが危ない。
20: 名無しさん 2015/11/07(土) 17:13:16.63
たまーにいきなり頭の中が「ズキン」てなるのはなんなの?
怖いんだけど。
怖いんだけど。
32: 名無しさん 2015/11/07(土) 17:17:12.39
>>20
急いで病院池!!!!!
急いで病院池!!!!!
49: 名無しさん 2015/11/07(土) 17:24:36.84
>>20
頭痛は吐き気や目まいが伴わなければ、
たいてい頭を覆う薄い筋肉や、神経なんかが原因の場合が多い。
肩こりとかないか?痛むのは寒い時とか、
疲れてて筋肉がこってるような時じゃないのか?
もし、吐き気が伴うなら、即病院に行きなさい。
頭痛は吐き気や目まいが伴わなければ、
たいてい頭を覆う薄い筋肉や、神経なんかが原因の場合が多い。
肩こりとかないか?痛むのは寒い時とか、
疲れてて筋肉がこってるような時じゃないのか?
もし、吐き気が伴うなら、即病院に行きなさい。
231: 名無しさん 2015/11/09(月) 05:04:18.24
>>20
それ危険だから病院でMRIかPET受けた方が良いよ。
危険信号だったら放置すると石の下に行く事になるよ。
それ危険だから病院でMRIかPET受けた方が良いよ。
危険信号だったら放置すると石の下に行く事になるよ。
26: 名無しさん 2015/11/07(土) 17:14:58.79
サナダムシがこういう悪さするのは珍しいね
回虫はちょくちょくあるらしいけど
長い数匹の回虫が脳からはえてる写真見たことある
回虫はちょくちょくあるらしいけど
長い数匹の回虫が脳からはえてる写真見たことある
42: 名無しさん 2015/11/07(土) 17:21:07.04
ちょっと無理すると歯が痛くなって頭痛と胸痛めまいが続けてくる
48: 名無しさん 2015/11/07(土) 17:23:24.57
寄生虫は本来の宿主や場所にいればたいして害は無いけど、
迷入しちゃうと大変なコトになるぞ、と教えられたな。
迷入しちゃうと大変なコトになるぞ、と教えられたな。
62: 名無しさん 2015/11/07(土) 17:27:56.31
アメリカ人て色んな頭痛になるよな
一番笑ったのは頭痛がするって医者に行ったら頭を銃で撃たれてたってやつ
気づけよwww
一番笑ったのは頭痛がするって医者に行ったら頭を銃で撃たれてたってやつ
気づけよwww
63: 名無しさん 2015/11/07(土) 17:29:37.23
一定の確率で人間の脳に達成する寄生虫や細菌がいるので、防ぐことは出来ない
その確率も、通常の生活をしてたなら、癌になるより遥かに低い
その確率も、通常の生活をしてたなら、癌になるより遥かに低い
65: 名無しさん 2015/11/07(土) 17:31:40.53
危険、肉の生食、淡水魚の刺身、※産卵のために淡水に戻る魚も注意。
67: 名無しさん 2015/11/07(土) 17:30:31.27
そもそも入口はどこよ
食べ物と一緒に卵を食べて孵っても、脳には入らないだろ?
食べ物と一緒に卵を食べて孵っても、脳には入らないだろ?
179: 名無しさん 2015/11/07(土) 21:25:10.68
>>67
ちっさい時に血管から入って移動したんで内科医
ちっさい時に血管から入って移動したんで内科医
83: 名無しさん 2015/11/07(土) 17:40:00.21
どこから感染したんだろう?
なに食べたんだ?
なに食べたんだ?
88: 名無しさん 2015/11/07(土) 17:46:47.64
サナダムシと言っても大きく3種類があるからな。
・無鉤条虫(カギナシサナダ) - 感染源は生牛肉
・有鉤条虫(カギサナダ) - 感染源は生豚肉
・広節裂頭条虫(ミゾサナダ) - 感染源は生のサケ・マス
豚の生レバーが怖い、と言われるのは細菌による食中毒以外に、有鉤条虫の感染リスクがあるから。牛の生肉(ユッケやレバー)も同様。
生のサケ・マスと聞いてサーモン寿司やマリネは? と心配になるが、-18度で48時間以上冷凍すればOK(これはミゾサナダだけ有効で、カギ・カギナシはダメ)。
・無鉤条虫(カギナシサナダ) - 感染源は生牛肉
・有鉤条虫(カギサナダ) - 感染源は生豚肉
・広節裂頭条虫(ミゾサナダ) - 感染源は生のサケ・マス
豚の生レバーが怖い、と言われるのは細菌による食中毒以外に、有鉤条虫の感染リスクがあるから。牛の生肉(ユッケやレバー)も同様。
生のサケ・マスと聞いてサーモン寿司やマリネは? と心配になるが、-18度で48時間以上冷凍すればOK(これはミゾサナダだけ有効で、カギ・カギナシはダメ)。
132: 名無しさん 2015/11/07(土) 18:41:58.77
サナダムシって物理的にとろうとしても触手の一部が切れて残り
また再生するんでしょ
脳みそを殺虫剤で洗うわけいいかないしどうすんだ
また再生するんでしょ
脳みそを殺虫剤で洗うわけいいかないしどうすんだ
133: 名無しさん 2015/11/07(土) 18:44:20.22
脳に到達するまでの進入経路が知りたい
134: 名無しさん 2015/11/07(土) 18:48:46.80
>>133
胃や腸を食い破って、血管からだろ
知識ない想像で書いたけど
胃や腸を食い破って、血管からだろ
知識ない想像で書いたけど
145: 名無しさん 2015/11/07(土) 19:14:45.03
サナダが原因の頭痛はなくなっても治療費が原因の頭痛に悩まされ続けるんだろ?
165: 名無しさん 2015/11/07(土) 20:22:17.74
生食してない国でこれかW
日本は生食文化なのに脳内寄生なんて聞かないよな。
日本は生食文化なのに脳内寄生なんて聞かないよな。
230: 名無しさん 2015/11/09(月) 04:44:14.31
腸内にサナダムシが寄生してた話は聞いたことがあるが
脳内寄生は初めてだ。
脳内寄生は初めてだ。
21: 名無しさん 2015/11/07(土) 17:14:07.94
何か頭痛くなってきた…
引用元: ・【米国】激しい頭痛の原因は脳に寄生したサナダムシ
![]() |









